- Conditions
- Ankle fracture
Ankle fracture Broken ankle
Introduction
The bones of the ankle can break in different places. This is almost always the result of an accident or fall. It results in immediate, severe pain and swelling causes the ankle to thicken.
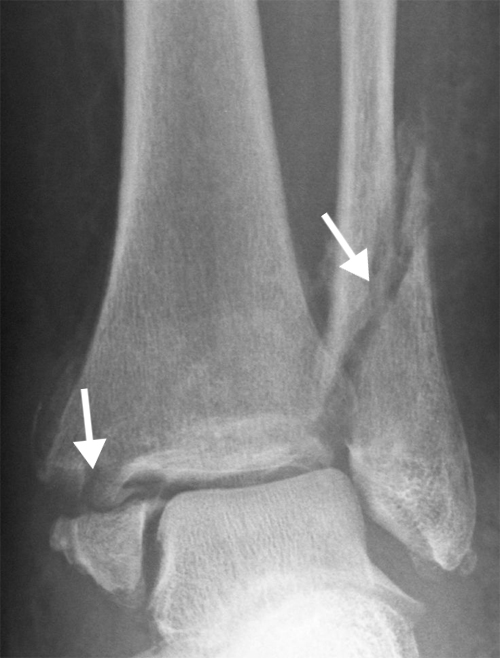
The ankle is formed from the shinbone, the calf bone and the ankle bone (talus). The lowest parts of the shinbone and calf bone together form the ankle fork. The talus is enclosed from outside by these two bones. We call this section the talocrural joint. In normal speech, the ankle also includes the subtalar joint, which is located beneath the talocrural joint.

Description of condition
An ankle fracture is a break in one or more bones of the ankle. In many cases the calf bone breaks, but breaks can also occur in other parts of the ankle. In severe cases, bones will break in various places at the same time.
Cause and history
An ankle fracture almost always occurs as the result of an accident or fall, or following a severe sprain or misstep. The patient often clearly hears or feels something break.
Signs & symptoms
- Severe ankle pain.
- Pressure pain on the (broken) bone.
- Movements of the ankle are painful.
- The ankle is swollen (bruising).
- Usually, the patient is unable to bear weight on the ankle (it is impossible to walk more than 4 steps on the affected ankle).
Diagnosis
The diagnosis is confirmed through the physical examination and an X-ray.
Treatment and recovery
Many fractures are treated with a cast. This usually takes 4 - 6 weeks. In some cases a surgical procedure may be required. During the operation, the broken bones are positioned correctly and fixed with screws and plates.
More info
You can check your symptoms using the online physiotherapy check or make an appointment with a physiotherapy practice in your locality.
References
Cleland, J.A. & Koppenhaver, S. (2011) Netter's orthopaedic clinical examination: an evidence-based approach 2nd ed. Philadelphia: Saunders Elsevier.
Schreuder, H.W.B. (2007) De voet. De basis voor staan en gaan Nijmegen: Thieme.